審美的治療の実例
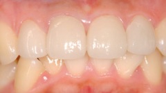
出っ 歯が気になって来院した患者様です。海外に行くことが決まっていたので、矯正治療をするだけの時間の余裕がありませんでした。そこで、上の前歯4本をオー ルセラミッククラウンに変えました。いかがですか?どれが人口の歯か見分けがつきません。患者様ご本人も大満足してくださいました。
当院では咬み合わせ、歯列のみならず、歯肉との調和も考慮し治療にあたります。自然さを追求し、治療した後も結果を長く安定させるように、しっかりとメインテナンスサポート致します。
| 【症例3 審美】 | |
![]() |
![]() |
![]() |
![]() |
![]() |
![]() |
| Before | After |






